Presentation
A 37 years old gentleman suffering from Ankylosing Spondylitis – a stiff back, hip and knee joints.
He had been bed bound for nearly 2 years. He could barely sit up on bed, he would slide to the washroom for his natural calls, while his mother used to feed him on bed.
His financial and social status made him just to wait on his bed looked after by his ailing mother, until a fine gentleman, Joel S Travis brings him to Dr Rupesh Vaidya at Suvekchya Hospital in 2015.
Treatment
After a detailed examination Dr Rupesh advised him to undergo both hip replacement surgery to make him ambulatory. However, the surgery would be difficult because of his general condition, severity of his disease and contractures of his both hips and knee. And of course, the whole treatment would be costly. It was finally decided by the patient, his caretakers, surgeon and the hospital that he should be operated.
He was operated three times, once for the release of his hips and knee contracture and twice for replacement of both hips.
He stayed in the hospital for 3 months and went home walking.
Follow up
After 4 years, recently, he came back to follow up walking with a smile on his face and continuing his old job of cut flowers.
A miraculous example of team work – once again proving – Disability Must not Mean Immobility.
Photos posted with permission from the patient
- Initial Presentation 2015
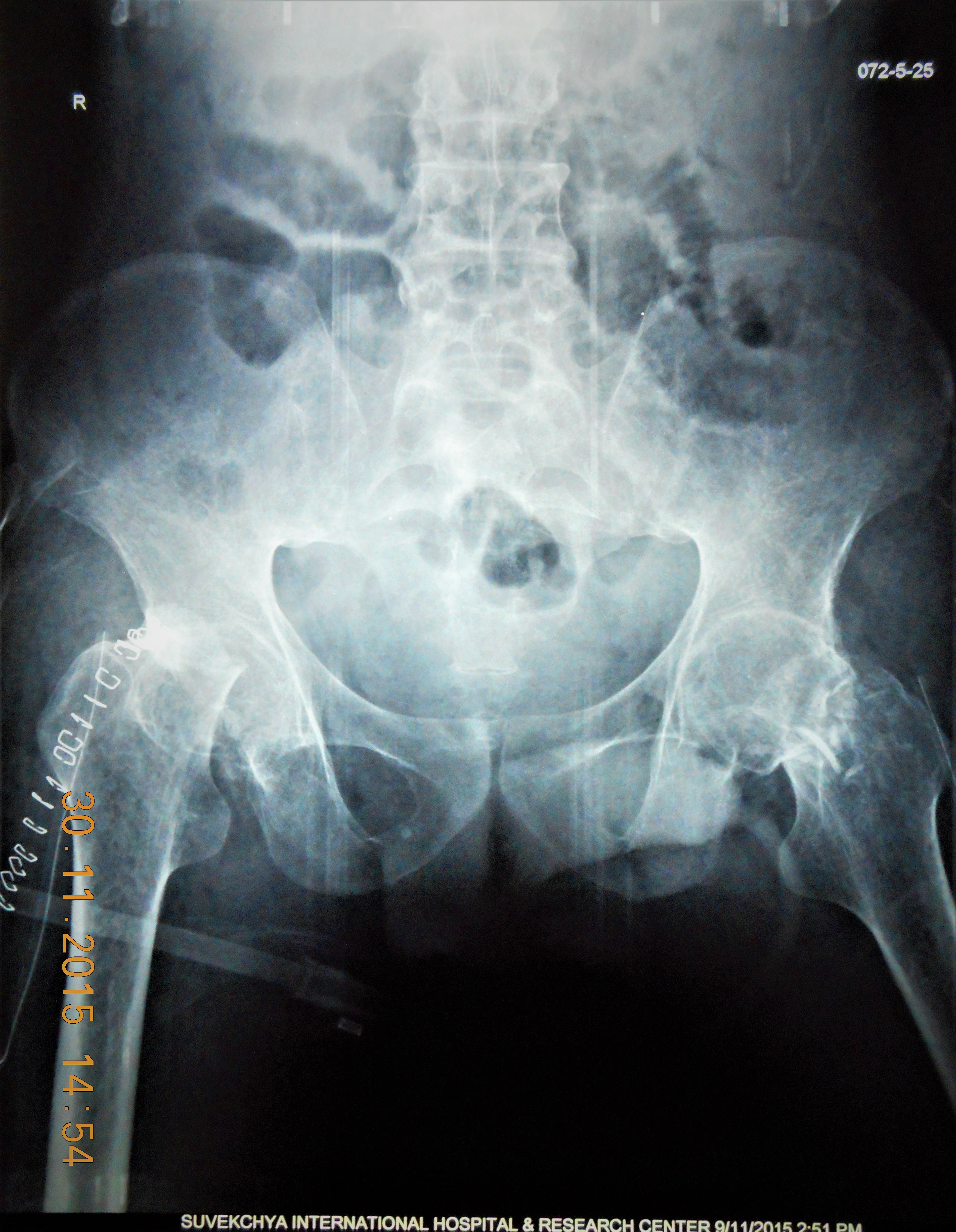
- Initial X Ray
- 1 st Operation X Ray: BL Femoral Neck Osteotomy
- Skeletal Traction for Hip and Knee Release
- Hip Replacement Operation
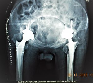
- Post Op X Ray
- Getting Discharged
- Follow up after 4 years
Walking independently







